50-220-3641

p53 Polyclonal Antibody, Abbomax

Manufacturer: Abbomax Inc

Select a Size

Pack Size SKU Availability Price
Each of 1 50-220-3641-Each-of-1 In Stock ₹ 17,026.44

50-220-3641 - Each of 1

₹ 17,026.44

In Stock

Quantity

1

Base Price: ₹ 17,026.44

GST (18%): ₹ 3,064.759

Total Price: ₹ 20,091.199

Antigen

p53

Classification

Polyclonal

Conjugate

Unconjugated

Gene

Tp53

Gene Alias

Antigen NY-CO-13; bbl; BCC7; bfy; bhy; cellular tumor antigen p53; Cys 51 Stop; EGK_08142; FLJ92943; HGNC11998; I79_002739; LFS1; Li-Fraumeni syndrome; mutant p53; mutant tumor protein 53; OTTMUSP00000006194; p44; p53; p53 cellular tumor antigen; p53 protein; p53 tumor suppressor; p53 tumor suppressor phosphoprotein; phosphoprotein p53; Tp53; tp53.L; transformation related protein 53; transformation-related protein 53; Trp248; Trp53; tumor protein 53; tumor protein p53; tumor protein p53 (Li-Fraumeni syndrome); tumor protein p53 L homeolog; tumor suppressor p53; tumor suppressor p53 phosphoprotein; tumor suppressor protein p53; tumor supressor p53; Tumour Protein p53; XELAEV_180196761mg; Xp53; Xrel3

Immunogen

A synthetic peptide corresponding to the N-terminus of human p53 protein

Quantity

100 μg

Primary or Secondary

Primary

Target Species

Human, Mouse, Rat

Product Type

Antibody

Isotype

IgG

Applications

Immunohistochemistry (Paraffin), Immunohistochemistry (PFA fixed), Western Blot

Concentration

0.5 mg/mL

Formulation

PBS with proprietary stabilizer and 0.01% sodium azide

Gene Accession No.

P02340, P04637, P10361

Host Species

Rabbit

Purification Method

Antigen affinity chromatography

Regulatory Status

RUO

Gene ID (Entrez)

22059, 24842, 7157

Content And Storage

Store at 4°C short term. For long term storage, store at -20°C, avoiding freeze/thaw cycles.

Form

Liquid

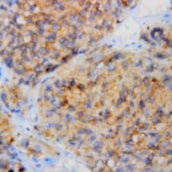
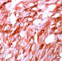
Description

  • Positive control: Breast carcinoma Cellular location: Nuclear
  • p53 Polyclonal antibody specifically detects p53 in Human, Mouse, Rat samples
  • It is validated for Immunohistochemistry (Paraffin), Immunohistochemistry (PFA fixed), Western Blot

Compare Similar Items

Show Difference

Img

Abbomax Inc

50-220-3641

--


Antigen:
p53

Classification:
Polyclonal

Conjugate:
Unconjugated

Gene:
Tp53

Gene Alias:
Antigen NY-CO-13; bbl; BCC7; bfy; bhy; cellular tumor antigen p53; Cys 51 Stop; EGK_08142; FLJ92943; HGNC11998; I79_002739; LFS1; Li-Fraumeni syndrome; mutant p53; mutant tumor protein 53; OTTMUSP00000006194; p44; p53; p53 cellular tumor antigen; p53 protein; p53 tumor suppressor; p53 tumor suppressor phosphoprotein; phosphoprotein p53; Tp53; tp53.L; transformation related protein 53; transformation-related protein 53; Trp248; Trp53; tumor protein 53; tumor protein p53; tumor protein p53 (Li-Fraumeni syndrome); tumor protein p53 L homeolog; tumor suppressor p53; tumor suppressor p53 phosphoprotein; tumor suppressor protein p53; tumor supressor p53; Tumour Protein p53; XELAEV_180196761mg; Xp53; Xrel3

Immunogen:
A synthetic peptide corresponding to the N-terminus of human p53 protein

Quantity:
100 μg

Primary or Secondary:
Primary

Target Species:
Human, Mouse, Rat

Product Type:
Antibody

Isotype:
IgG

Applications:
Immunohistochemistry (Paraffin), Immunohistochemistry (PFA fixed), Western Blot

Concentration:
0.5 mg/mL

Formulation:
PBS with proprietary stabilizer and 0.01% sodium azide

Gene Accession No.:
P02340, P04637, P10361

Host Species:
Rabbit

Purification Method:
Antigen affinity chromatography

Regulatory Status:
RUO

Gene ID (Entrez):
22059, 24842, 7157

Content And Storage:
Store at 4°C short term. For long term storage, store at -20°C, avoiding freeze/thaw cycles.

Form:
Liquid

Img

Abbomax Inc

50-220-3644

--


Antigen:
S100

Classification:
Polyclonal

Conjugate:
Unconjugated

Gene:
S100A1

Gene Alias:
AI266795; AI850290; Bpb; hypothetical protein LOC525716; NEF; Protein S100-A1; protein S100-B; S 100; S100; S100 alpha; S100 calcium binding protein A1; S100 calcium binding protein B; S100 calcium-binding protein A1; S100 calcium-binding protein B; S100 calcium-binding protein beta (neural); S100 calcium-binding protein, beta (neural); S-100 calcium-binding protein, beta chain; S-100 protein alpha chain; S-100 protein beta chain; S-100 protein subunit alpha; S-100 protein subunit beta; S100 protein, alpha polypeptide; S100 protein, beta polypeptide; S100 protein, beta polypeptide, neural; S100a; S100A1; S100alpha; S100-alpha; S100B; S100-B; S100beta; S100P

Immunogen:
Recombinant protein encoding human S100 protein

Quantity:
100 μg

Primary or Secondary:
Primary

Target Species:
Bovine, Human, Mouse, Rat

Product Type:
Antibody

Isotype:
IgG

Applications:
Immunohistochemistry (Paraffin), Immunohistochemistry (PFA fixed), Western Blot

Concentration:
0.5 mg/mL

Formulation:
PBS with proprietary stabilizer and 0.01% sodium azide

Gene Accession No.:
P02638, P02639, P04271, P04631, P23297, P35467, P50114, P56565

Host Species:
Rabbit

Purification Method:
Antigen affinity chromatography

Regulatory Status:
RUO

Gene ID (Entrez):
20193, 20203, 25742, 295214, 525716, 528735, 6271, 6285

Content And Storage:
Store at 4°C short term. For long term storage, store at -20°C, avoiding freeze/thaw cycles.

Form:
Liquid

Img

Abbomax Inc

50-220-3646

--


Antigen:
Synaptophysin

Classification:
Polyclonal

Conjugate:
Unconjugated

Gene:
Syp

Gene Alias:
A230093K24Rik; AI848995; BM89 antigen; I79_012252; Major synaptic vesicle protein p38; MRX96; MRXSYP; p38; Syn; Synaptophysin; Syp; Syp I; Syp1

Immunogen:
A synthetic peptide of human Synaptophysin

Quantity:
100 μg

Primary or Secondary:
Primary

Target Species:
Human

Product Type:
Antibody

Isotype:
IgG

Applications:
Immunohistochemistry (Paraffin), Western Blot

Concentration:
0.5 mg/mL

Formulation:
PBS with proprietary stabilizer and 0.01% sodium azide

Gene Accession No.:
P08247

Host Species:
Rabbit

Purification Method:
Antigen affinity chromatography

Regulatory Status:
RUO

Gene ID (Entrez):
6855

Content And Storage:
Store at 4°C short term. For long term storage, store at -20°C, avoiding freeze/thaw cycles.

Form:
Liquid

Img

Abbomax Inc

50-220-3648

--


Antigen:
Caspase 7

Classification:
Polyclonal

Conjugate:
Unconjugated

Gene:
CASP7

Gene Alias:
AI314680; Apoptotic protease Mch-3; Casp7; CASP-7; caspase 7; caspase 7, apoptosis-related cysteine peptidase; caspase 7, apoptosis-related cysteine protease; caspase-7; Caspase-7 subunit p11; Caspase-7 subunit p20; CMH-1; cysteine protease LICE2; ICE-IAP3; ICE-LAP3; ICE-like apoptotic protease 3; Lice2; mCASP-7; MCH3; OTTHUMP00000020511; OTTHUMP00000020513; OTTHUMP00000020514; RP11-211N11.6

Immunogen:
A synthetic peptide derived from N-terminus of human Caspase 7 protein

Quantity:
100 μg

Primary or Secondary:
Primary

Target Species:
Human

Product Type:
Antibody

Isotype:
IgG

Applications:
Immunohistochemistry (Paraffin), Immunohistochemistry (PFA fixed), Western Blot

Concentration:
0.5 mg/mL

Formulation:
PBS with proprietary stabilizer and 0.01% sodium azide

Gene Accession No.:
P55210

Host Species:
Rabbit

Purification Method:
Antigen affinity chromatography

Regulatory Status:
RUO

Gene ID (Entrez):
840

Content And Storage:
Store at 4°C short term. For long term storage, store at -20°C, avoiding freeze/thaw cycles.

Form:
Liquid