AF1298

Human ULBP-2/5/6 Antibody, R&D Systems™

Manufacturer: R&D Systems

Select a Size

Pack Size SKU Availability Price
Each of 1 AF1298-Each-of-1 In Stock ₹ 52,020.48

AF1298 - Each of 1

₹ 52,020.48

In Stock

Quantity

1

Base Price: ₹ 52,020.48

GST (18%): ₹ 9,363.686

Total Price: ₹ 61,384.166

Antigen

ULBP-2/5/6

Classification

Polyclonal

Conjugate

Unconjugated

Gene Accession No.

Q9BZM5

Host Species

Goat

Purification Method

Affinity Purified

Regulatory Status

RUO

Gene ID (Entrez)

80328

Reconstitution

Reconstitute at 0.2 mg/mL in sterile PBS.

Content And Storage

Use a manual defrost freezer and avoid repeated freeze-thaw cycles.12 months from date of receipt, -20 to -70 degreesC as supplied. 1 month, 2 to 8 degreesC under sterile conditions after reconstitution. 6 months, -20 to -70 degreesC under sterile conditions after reconstitution.

Applications

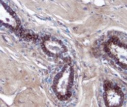
Western Blot, Immunohistochemistry, Blockade of Receptor-ligand Interaction

Concentration

LYOPH

Dilution

Western Blot 0.1 ug/mL, Immunohistochemistry 5-15 ug/mL, Blockade of Receptor-ligand Interaction

Gene Alias

ALCAN-alpha, N2DL2, NKG2DL2, RAET1G, RAET1H, RAET1L, UL16 binding protein 2, ULBP2, ULBP5, ULBP6

Immunogen

Mouse myeloma cell line NS0-derived recombinant human ULBP-2 Gly26-Ser217 Accession # Q9BZM5

Quantity

100 μg

Primary or Secondary

Primary

Test Specificity

Detects human ULBP-2, ULBP-5, and RAET1L/ULBP-6 in Western blots. In direct ELISAs and Western blots, less than 2% cross-reactivity with recombinant human (rh) ULBP-1, rhULBP-3, and rhULBP-4 is observed.

Target Species

Human

Isotype

IgG

Description

  • ULBP-2/5/6 Polyclonal specifically detects ULBP-2/5/6 in Human samples
  • It is validated for Western Blot, Immunohistochemistry, Blockade of Receptor-ligand Interaction.

Compare Similar Items

Show Difference

Img

R&D Systems

AF1298

--


Antigen:
ULBP-2/5/6

Classification:
Polyclonal

Conjugate:
Unconjugated

Gene Accession No.:
Q9BZM5

Host Species:
Goat

Purification Method:
Affinity Purified

Regulatory Status:
RUO

Gene ID (Entrez):
80328

Reconstitution:
Reconstitute at 0.2 mg/mL in sterile PBS.

Content And Storage:
Use a manual defrost freezer and avoid repeated freeze-thaw cycles.12 months from date of receipt, -20 to -70 degreesC as supplied. 1 month, 2 to 8 degreesC under sterile conditions after reconstitution. 6 months, -20 to -70 degreesC under sterile conditions after reconstitution.

Applications:
Western Blot, Immunohistochemistry, Blockade of Receptor-ligand Interaction

Concentration:
LYOPH

Dilution:
Western Blot 0.1 ug/mL, Immunohistochemistry 5-15 ug/mL, Blockade of Receptor-ligand Interaction

Gene Alias:
ALCAN-alpha, N2DL2, NKG2DL2, RAET1G, RAET1H, RAET1L, UL16 binding protein 2, ULBP2, ULBP5, ULBP6

Immunogen:
Mouse myeloma cell line NS0-derived recombinant human ULBP-2 Gly26-Ser217 Accession # Q9BZM5

Quantity:
100 μg

Primary or Secondary:
Primary

Test Specificity:
Detects human ULBP-2, ULBP-5, and RAET1L/ULBP-6 in Western blots. In direct ELISAs and Western blots, less than 2% cross-reactivity with recombinant human (rh) ULBP-1, rhULBP-3, and rhULBP-4 is observed.

Target Species:
Human

Isotype:
IgG

Img

A2B Chem

AF12999

--


Antigen:
__

Classification:
__

Conjugate:
__

Gene Accession No.:
__

Host Species:
__

Purification Method:
__

Regulatory Status:
__

Gene ID (Entrez):
__

Reconstitution:
__

Content And Storage:
__

Applications:
__

Concentration:
__

Dilution:
__

Gene Alias:
__

Immunogen:
__

Quantity:
__

Primary or Secondary:
__

Test Specificity:
__

Target Species:
__

Isotype:
__

Img

R&D Systems

AF129SP

--


Antigen:
IL-18 BPc

Classification:
Polyclonal

Conjugate:
Unconjugated

Gene Accession No.:
AAD17193

Host Species:
Goat

Purification Method:
Affinity Purified

Regulatory Status:
RUO

Gene ID (Entrez):
16182

Reconstitution:
Reconstitute at 0.2 mg/mL in sterile PBS.

Content And Storage:
Use a manual defrost freezer and avoid repeated freeze-thaw cycles.12 months from date of receipt, -20 to -70 degreesC as supplied. 1 month, 2 to 8 degreesC under sterile conditions after reconstitution. 6 months, -20 to -70 degreesC under sterile conditions after reconstitution.

Applications:
Western Blot

Concentration:
LYOPH

Dilution:
Western Blot 0.1 ug/mL

Gene Alias:
__

Immunogen:
S. frugiperdainsect ovarian cell lineSf21-derived recombinant mouse IL-18 BPc Arg25-Ser192 Accession # AAD17193

Quantity:
25 μg

Primary or Secondary:
Primary

Test Specificity:
Detects mouse IL-18 BPc in direct ELISAs and Western blots. In direct ELISAs, approximately 35% cross-reactivity with recombinant mouse IL-18 BPd is observed and less than 1% cross-reactivity with recombinant human IL-18 BPa is observed.

Target Species:
Mouse

Isotype:
IgG

Img

R&D Systems

AF1300

--


Antigen:
MICA

Classification:
Polyclonal

Conjugate:
Unconjugated

Gene Accession No.:
NP_001170990

Host Species:
Goat

Purification Method:
Affinity Purified

Regulatory Status:
RUO

Gene ID (Entrez):
100507436

Reconstitution:
Reconstitute at 0.2 mg/mL in sterile PBS.

Content And Storage:
Use a manual defrost freezer and avoid repeated freeze-thaw cycles.12 months from date of receipt, -20 to -70 degreesC as supplied. 1 month, 2 to 8 degreesC under sterile conditions after reconstitution. 6 months, -20 to -70 degreesC under sterile conditions after reconstitution.

Applications:
Western Blot, Immunohistochemistry, Blockade of Receptor-ligand Interaction

Concentration:
LYOPH

Dilution:
Western Blot 0.1 ug/mL, Immunohistochemistry 5-15 ug/mL, Blockade of Receptor-ligand Interaction

Gene Alias:
FLJ60820, MGC111087, PERB11.1

Immunogen:
Mouse myeloma cell line NS0-derived recombinant human MICA Ala23-Gln308 Accession # NP_001170990

Quantity:
100 μg

Primary or Secondary:
Primary

Test Specificity:
Detects human MICA in direct ELISAs and Western blots. In Western blots, approximately 40% cross-reactivity with recombinant human MICB is observed.

Target Species:
Human

Isotype:
IgG