MS1572P1

Synuclein Ab-2 Mouse Monoclonal Antibody, Epredia™

Manufacturer: Fischer Scientific

Select a Size

Pack Size SKU Availability Price
Each of 1 MS1572P1-Each-of-1 In Stock ₹ 63,485.52

MS1572P1 - Each of 1

₹ 63,485.52

In Stock

Quantity

1

Base Price: ₹ 63,485.52

GST (18%): ₹ 11,427.394

Total Price: ₹ 74,912.914

Antigen

Synuclein Ab-2

Classification

Monoclonal

Concentration

200μg/mL

Host Species

Mouse

Quantity

500 μL

Research Discipline

Neuroscience

Target Species

Human

Isotype

IgG1

Applications

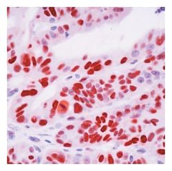
Immunohistochemistry (Paraffin), Immunoprecipitation, Western Blot

Clone

syn211

Conjugate

Unconjugated

Immunogen

Human recombinant alpha-synuclein

Regulatory Status

RUO

Primary or Secondary

Primary

Form

Concentrated

Related Products

Img

Fischer Scientific

MS1572P0

--

Img

Fischer Scientific

MS1572PABX

--

Img

Fischer Scientific

MS1572P1ABX

--

Img

Fischer Scientific

MS1572R1

--

Img

Fischer Scientific

MS1209P1

--

Img

Fischer Scientific

MS1209P0

--

Img

Fischer Scientific

MS891P1

--

Img

Fischer Scientific

MS1209P

--

Description

  • Synnuclein family of proteins is abundantly expressed in neuronal cytosol and presynaptic terminals
  • In vertebrates they are encoded by three different genes
  • Synucleins have been specifically implemented in three major diseases: Alzheimer's (AD), Parkinson's (PD) and breast cancer
  • In AD, a peptide derived from α-synuclein forms an intrinsic component of plaque amyloid
  • In PD, an alpha synuclein accumulates in Lewy bodies
  • An allele of α synuclein has been linked to many familial cases of PD
  • In breast cancer increased expression of γ synuclein correlates with the disease progression
  • Synucleins appear to be involved in the membrane plasticity in developing song control system of songbirds
  • Host Species: Mouse Clone: syn211 Isotype: IgG1 Species Reactivity: Human
  • Does not react with mouse and rat
  • Others not known
  • Epitope: Not determined Immunogen: Human recombinant α-synuclein Molecular Weight: ∽14kDa Positive Control: Brain Cellular Localization: Neuronal cytosol and presynaptic terminals Recommended for: Immunohistochemistry (Formalin/paraffin) Western Blotting Immunoprecipitation Note: USA: RUO; Int'l: RUO

Compare Similar Items

Show Difference

Img

Fischer Scientific

MS1572P1

--


Antigen:
Synuclein Ab-2

Classification:
Monoclonal

Concentration:
200μg/mL

Host Species:
Mouse

Quantity:
500 μL

Research Discipline:
Neuroscience

Target Species:
Human

Isotype:
IgG1

Applications:
Immunohistochemistry (Paraffin), Immunoprecipitation, Western Blot

Clone:
syn211

Conjugate:
Unconjugated

Immunogen:
Human recombinant alpha-synuclein

Regulatory Status:
RUO

Primary or Secondary:
Primary

Form:
Concentrated

Img

Fischer Scientific

MS1572P1ABX

--


Antigen:
Synuclein Ab-2

Classification:
Monoclonal

Concentration:
1mg/mL

Host Species:
Mouse

Quantity:
100 μL

Research Discipline:
Neuroscience

Target Species:
Human

Isotype:
IgG1

Applications:
Immunohistochemistry (Paraffin), Immunoprecipitation, Western Blot

Clone:
syn211

Conjugate:
Unconjugated

Immunogen:
Human recombinant alpha-synuclein

Regulatory Status:
RUO

Primary or Secondary:
Primary

Form:
Concentrated

Img

Fischer Scientific

MS1572PABX

--


Antigen:
Synuclein Ab-2

Classification:
Monoclonal

Concentration:
1mg/mL

Host Species:
Mouse

Quantity:
200 μL

Research Discipline:
Neuroscience

Target Species:
Human

Isotype:
IgG1

Applications:
Immunohistochemistry (Paraffin), Immunoprecipitation, Western Blot

Clone:
syn211

Conjugate:
Unconjugated

Immunogen:
Human recombinant alpha-synuclein

Regulatory Status:
RUO

Primary or Secondary:
Primary

Form:
Concentrated

Img

Fischer Scientific

MS1572R1

--


Antigen:
Synuclein Ab-2

Classification:
Monoclonal

Concentration:
__

Host Species:
Mouse

Quantity:
1 mL

Research Discipline:
Neuroscience

Target Species:
Human

Isotype:
IgG1

Applications:
Immunohistochemistry (Paraffin), Immunoprecipitation, Western Blot

Clone:
syn211

Conjugate:
Unconjugated

Immunogen:
Human recombinant alpha-synuclein

Regulatory Status:
RUO

Primary or Secondary:
Primary

Form:
Prediluted