PIPA560904

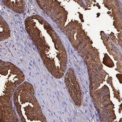
HLA-DOA Polyclonal Antibody, Invitrogen™

Manufacturer: Thermo Scientific

Select a Size

Pack Size SKU Availability Price
Each of 1 PIPA560904-Each-of-1 In Stock ₹ 52,866.00

PIPA560904 - Each of 1

₹ 52,866.00

In Stock

Quantity

1

Base Price: ₹ 52,866.00

GST (18%): ₹ 9,515.88

Total Price: ₹ 62,381.88

Antigen

HLA-DOA

Classification

Polyclonal

Conjugate

Unconjugated

Gene

HLA-DOA

Gene Alias

HLA class II histocompatibility antigen, DO alpha chain; HLA-D0-alpha; HLA-DNA; HLA-DOA; HLADZ; HLA-DZA; lymphocyte antigen; major histocompatibility complex, class II, DN alpha; major histocompatibility complex, class II, DO alpha; MHC class II antigen DOA; MHC DN-alpha; MHC DZ alpha

Host Species

Rabbit

Purification Method

Antigen affinity chromatography

Regulatory Status

RUO

Gene ID (Entrez)

3111

Content And Storage

Store at 4°C short term. For long term storage, store at -20°C, avoiding freeze/thaw cycles.

Form

Liquid

Applications

Immunohistochemistry, Western Blot

Concentration

0.4 mg/mL

Formulation

PBS with 40% glycerol and 0.02% sodium azide; pH 7.2

Gene Accession No.

P06340

Gene Symbols

HLA-DOA

Immunogen

Recombinant protein corresponding to Human HLA-DOA

Quantity

100 μL

Primary or Secondary

Primary

Target Species

Human

Product Type

Antibody

Isotype

IgG

Description

  • Immunogen sequence: GDFARFDPQG GLAGIAAIKA HLDILVERSN RSRAINVPPR VTVLPKSRVE Highest antigen sequence identity to the following orthologs: Mouse - 76%, Rat - 70%
  • Reacts with HLA-DO, a heterodimer formed by DNalpha and DObeta subunits in B cells
  • DNalpha and DObeta are the products of the non-classical class II genes, HLA-DNA and HLA-DOB, respectively
  • DO forms tight complexes with DM in the endoplasmic reticulum and is thereby sorted to lysosomal vesicles during antigen processing and presentation
  • It is tightly associated with DM and it is selectively expressed on antigen-presenting cells, such as B cells, dendritic cells and thymic epithelial cells
  • DO can enhance the efficiency of peptide loading and has been found to stabilize DM at low pH, preserving its chaperon activity
  • DO-DM complexes are more efficient than DM in protecting empty DR molecules
  • Reports describe DO as a co-chaperone of DM
  • HLA and MHC antibodies play a significant role in Immunopeptidomics, facilitating the identification and characterization of neoantigens through high-performance liquid chromatography coupled to tandem Mass Spectrometry.

Compare Similar Items

Show Difference

Img

Thermo Scientific

PIPA560904

--


Antigen:
HLA-DOA

Classification:
Polyclonal

Conjugate:
Unconjugated

Gene:
HLA-DOA

Gene Alias:
HLA class II histocompatibility antigen, DO alpha chain; HLA-D0-alpha; HLA-DNA; HLA-DOA; HLADZ; HLA-DZA; lymphocyte antigen; major histocompatibility complex, class II, DN alpha; major histocompatibility complex, class II, DO alpha; MHC class II antigen DOA; MHC DN-alpha; MHC DZ alpha

Host Species:
Rabbit

Purification Method:
Antigen affinity chromatography

Regulatory Status:
RUO

Gene ID (Entrez):
3111

Content And Storage:
Store at 4°C short term. For long term storage, store at -20°C, avoiding freeze/thaw cycles.

Form:
Liquid

Applications:
Immunohistochemistry, Western Blot

Concentration:
0.4 mg/mL

Formulation:
PBS with 40% glycerol and 0.02% sodium azide; pH 7.2

Gene Accession No.:
P06340

Gene Symbols:
HLA-DOA

Immunogen:
Recombinant protein corresponding to Human HLA-DOA

Quantity:
100 μL

Primary or Secondary:
Primary

Target Species:
Human

Product Type:
Antibody

Isotype:
IgG

Img

Thermo Scientific

PIPA560906

--


Antigen:
OR56B1

Classification:
Polyclonal

Conjugate:
Unconjugated

Gene:
OR56B1

Gene Alias:
Olfactory receptor 56B1; olfactory receptor family 56 subfamily B member 1; olfactory receptor OR11-65; olfactory receptor, family 56, subfamily B, member 1 pseudogene; OR11-65; OR56B1; OR56B1P

Host Species:
Rabbit

Purification Method:
Antigen affinity chromatography

Regulatory Status:
RUO

Gene ID (Entrez):
387748

Content And Storage:
Store at 4°C short term. For long term storage, store at -20°C, avoiding freeze/thaw cycles.

Form:
Liquid

Applications:
Immunohistochemistry

Concentration:
0.1 mg/mL

Formulation:
PBS with 40% glycerol and 0.02% sodium azide; pH 7.2

Gene Accession No.:
Q8NGI3

Gene Symbols:
OR56B1

Immunogen:
Recombinant protein corresponding to Human OR56B1

Quantity:
100 μL

Primary or Secondary:
Primary

Target Species:
Human

Product Type:
Antibody

Isotype:
IgG

Img

Thermo Scientific

PIPA560907

--


Antigen:
NBPF4

Classification:
Polyclonal

Conjugate:
Unconjugated

Gene:
NBPF4

Gene Alias:
NBPF4; Neuroblastoma breakpoint family member 4; neuroblastoma breakpoint family, member 4

Host Species:
Rabbit

Purification Method:
Antigen affinity chromatography

Regulatory Status:
RUO

Gene ID (Entrez):
148545

Content And Storage:
Store at 4°C short term. For long term storage, store at -20°C, avoiding freeze/thaw cycles.

Form:
Liquid

Applications:
Immunohistochemistry

Concentration:
0.2 mg/mL

Formulation:
PBS with 40% glycerol and 0.02% sodium azide; pH 7.2

Gene Accession No.:
Q96M43

Gene Symbols:
NBPF4

Immunogen:
Recombinant protein corresponding to Human NBPF4

Quantity:
100 μL

Primary or Secondary:
Primary

Target Species:
Human

Product Type:
Antibody

Isotype:
IgG

Img

Thermo Scientific

PIPA560908

--


Antigen:
EIF4E1B

Classification:
Polyclonal

Conjugate:
Unconjugated

Gene:
EIF4E1B

Gene Alias:
EIF4E1B; eukaryotic translation initiation factor 4E family member 1B; eukaryotic translation initiation factor 4E type 1B

Host Species:
Rabbit

Purification Method:
Antigen affinity chromatography

Regulatory Status:
RUO

Gene ID (Entrez):
253314

Content And Storage:
Store at 4°C short term. For long term storage, store at -20°C, avoiding freeze/thaw cycles.

Form:
Liquid

Applications:
Immunohistochemistry

Concentration:
0.1 mg/mL

Formulation:
PBS with 40% glycerol and 0.02% sodium azide; pH 7.2

Gene Accession No.:
A6NMX2

Gene Symbols:
EIF4E1B

Immunogen:
Recombinant protein corresponding to Human EIF4E1B

Quantity:
100 μL

Primary or Secondary:
Primary

Target Species:
Human

Product Type:
Antibody

Isotype:
IgG