50-155-9830

BRF1 Rabbit anti-Human, Polyclonal, Bethyl Laboratories

Manufacturer: Bethyl Laboratories, Inc

Select a Size

Pack Size SKU Availability Price
Each of 1 50-155-9830-Each-of-1 In Stock ₹ 43,546.81

50-155-9830 - Each of 1

₹ 43,546.81

In Stock

Quantity

1

Base Price: ₹ 43,546.81

GST (18%): ₹ 7,838.426

Total Price: ₹ 51,385.236

Antigen

BRF1

Classification

Polyclonal

Conjugate

Unconjugated

Gene

BRF1

Gene Alias

Transcription factor IIIB 90 kDa subunit, TFIIIB90, hTFIIIB90, B-related factor 1, BRF-1, hBRF, TAF3B2, TATA box-binding protein-associated factor, RNA polymerase III, subunit 2, BRF1, BRF, GTF3B, TAF3B2, TAF3C

Host Species

Rabbit

Purification Method

Antigen affinity chromatography

Regulatory Status

RUO

Gene ID (Entrez)

2972

Content And Storage

4° C

Form

Liquid

Applications

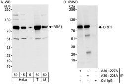
Immunohistochemistry, Immunoprecipitation, Western Blot

Concentration

0.2 mg/ml

Formulation

TBS with 0.1% BSA and 0.09% sodium azide

Gene Accession No.

Q92994

Gene Symbols

BRF1

Immunogen

Between 550 and 600

Quantity

100 μL

Primary or Secondary

Primary

Target Species

Human

Product Type

Antibody

Isotype

IgG

Description

  • The recommended shelf life for this product is 1 year from date of receipt
  • Application Note: For IHC, epitope retrieval with citrate buffer pH 6.0 is recommended for FFPE tissue sections
  • RNA polymerase (pol) III synthesizes tRNA, 5s rRNA, 7SL RNA and U6 snRNA and is overexpressed in many transformed cell lines and tumors in vivo, since cells must duplicate its protein components before division
  • Therefore, in order to maintain rapid growth, cells must produce a high level of Pol III transcribed RNA, which requires the presence of the TFIIIB and TFIIIC2 transcription factor complexes
  • The TFIIIC2 complex is composed of five subunits, TFIIIC220, TFIIIC110, TFIIIC102, TFIIIC90 and TFIIIC63, that are overexpressed in adenovirus transformed cells as well as in maligt cells in vivo, such as ovarian carcinomas
  • TFIIIC2 recruits RNA pol III and TFIIIB to promoter elements and may be a key component in the deregulation of maligt cells
  • The TFIIIB complex includes the TATA-binding protein (TBP), TFIIB-related factor 1 (TFIIIB90, BRF1) and TFIIIB, the expression of which are also upregulated in transformed cells
  • In many carcinomas, the tumor suppressors retinoblastoma (RB) and p53 are inactivated, which affects their ability to bind and inactivate the function of TFIIIB.

Compare Similar Items

Show Difference

Img

Bethyl Laboratories, Inc

50-155-9830

--


Antigen:
BRF1

Classification:
Polyclonal

Conjugate:
Unconjugated

Gene:
BRF1

Gene Alias:
Transcription factor IIIB 90 kDa subunit, TFIIIB90, hTFIIIB90, B-related factor 1, BRF-1, hBRF, TAF3B2, TATA box-binding protein-associated factor, RNA polymerase III, subunit 2, BRF1, BRF, GTF3B, TAF3B2, TAF3C

Host Species:
Rabbit

Purification Method:
Antigen affinity chromatography

Regulatory Status:
RUO

Gene ID (Entrez):
2972

Content And Storage:
4° C

Form:
Liquid

Applications:
Immunohistochemistry, Immunoprecipitation, Western Blot

Concentration:
0.2 mg/ml

Formulation:
TBS with 0.1% BSA and 0.09% sodium azide

Gene Accession No.:
Q92994

Gene Symbols:
BRF1

Immunogen:
Between 550 and 600

Quantity:
100 μL

Primary or Secondary:
Primary

Target Species:
Human

Product Type:
Antibody

Isotype:
IgG

Img

Bethyl Laboratories, Inc

50-155-9832

--


Antigen:
BRF1

Classification:
Polyclonal

Conjugate:
Unconjugated

Gene:
BRF1

Gene Alias:
Transcription factor IIIB 90 kDa subunit, TFIIIB90, hTFIIIB90, B-related factor 1, BRF-1, hBRF, TAF3B2, TATA box-binding protein-associated factor, RNA polymerase III, subunit 2, BRF1, BRF, GTF3B, TAF3B2, TAF3C

Host Species:
Rabbit

Purification Method:
Antigen affinity chromatography

Regulatory Status:
RUO

Gene ID (Entrez):
2972

Content And Storage:
4° C

Form:
Liquid

Applications:
Immunohistochemistry, Western Blot

Concentration:
__

Formulation:
TBS with 0.1% BSA and 0.09% sodium azide

Gene Accession No.:
Q92994

Gene Symbols:
BRF1

Immunogen:
Between 550 and 600

Quantity:
20 μL

Primary or Secondary:
Primary

Target Species:
Human

Product Type:
Antibody

Isotype:
IgG

Img

Bethyl Laboratories, Inc

50-155-9833

--


Antigen:
BRF1

Classification:
Polyclonal

Conjugate:
Unconjugated

Gene:
BRF1

Gene Alias:
Transcription factor IIIB 90 kDa subunit, TFIIIB90, hTFIIIB90, B-related factor 1, BRF-1, hBRF, TAF3B2, TATA box-binding protein-associated factor, RNA polymerase III, subunit 2, BRF1, BRF, GTF3B, TAF3B2, TAF3C

Host Species:
Rabbit

Purification Method:
Antigen affinity chromatography

Regulatory Status:
RUO

Gene ID (Entrez):
2972, 72308

Content And Storage:
4° C

Form:
Liquid

Applications:
Immunohistochemistry, Immunoprecipitation, Western Blot

Concentration:
0.2 mg/ml

Formulation:
TBS with 0.1% BSA and 0.09% sodium azide

Gene Accession No.:
Q8CFK2, Q92994

Gene Symbols:
BRF1

Immunogen:
Between 627 and 677

Quantity:
100 μL

Primary or Secondary:
Primary

Target Species:
Human, Mouse

Product Type:
Antibody

Isotype:
IgG

Img

Bethyl Laboratories, Inc

50-155-9835

--


Antigen:
BRF1

Classification:
Polyclonal

Conjugate:
Unconjugated

Gene:
BRF1

Gene Alias:
Transcription factor IIIB 90 kDa subunit, TFIIIB90, hTFIIIB90, B-related factor 1, BRF-1, hBRF, TAF3B2, TATA box-binding protein-associated factor, RNA polymerase III, subunit 2, BRF1, BRF, GTF3B, TAF3B2, TAF3C

Host Species:
Rabbit

Purification Method:
Antigen affinity chromatography

Regulatory Status:
RUO

Gene ID (Entrez):
2972, 72308

Content And Storage:
4° C

Form:
Liquid

Applications:
Immunohistochemistry, Western Blot

Concentration:
__

Formulation:
TBS with 0.1% BSA and 0.09% sodium azide

Gene Accession No.:
Q8CFK2, Q92994

Gene Symbols:
Brf1

Immunogen:
Between 627 and 677

Quantity:
20 μL

Primary or Secondary:
Primary

Target Species:
Human, Mouse

Product Type:
Antibody

Isotype:
IgG