ABN998MI

MilliporeSigma™ Rabbit anti-phospho- PSD95 (Thr19), Polyclonal,

Manufacturer: MilliporeSigma™

Select a Size

Pack Size SKU Availability Price
Each of 1 ABN998MI-Each-of-1 In Stock ₹ 41,813.98

ABN998MI - Each of 1

₹ 41,813.98

In Stock

Quantity

1

Base Price: ₹ 41,813.98

GST (18%): ₹ 7,526.516

Total Price: ₹ 49,340.496

Antigen

phospho- PSD95 (Thr19)

Classification

Polyclonal

Gene Accession No.

P78352

Host Species

Rabbit

Purification Method

Affinity Purified

Regulatory Status

RUO

Primary or Secondary

Primary

Target Species

Human

Applications

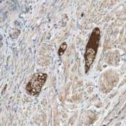
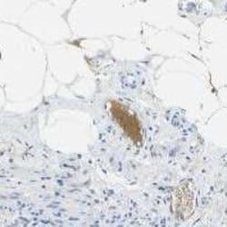
Immunohistochemistry (Paraffin), Western Blot

Formulation

Purified rabbit polyclonal in buffer containing 0.1M Tris-Glycine (pH 7.4), 150mM NaCl with 0.05% sodium azide.

Gene Symbols

DLG4; PSD95

Immunogen

KLH-conjugated linear peptide corresponding to human phospho PSD95 (Thr19) near the N-Terminus.

Quantity

100 μg

Research Discipline

Neuroscience

Gene ID (Entrez)

NP_001122299

Content And Storage

Stable for one year at 2°C to 8°C from date of receipt.

Related Products

Img

MilliporeSigma™

ABN1480MI

--

Img

MilliporeSigma™

ABC927MI

--

Img

MilliporeSigma™

ABC937MI

--

Img

MilliporeSigma™

ABN1022MI

--

Img

MilliporeSigma™

ABN1014MI

--

Img

MilliporeSigma™

ABC924MI

--

Img

MilliporeSigma™

ABN1023MI

--

Img

MilliporeSigma™

ABN1383MI

--

Description

  • Specifically detects phospho- PSD95 (Thr19) in Human samples, and it is validated for Immunohistochemistry (Paraffin), Western Blotting PSD95 (postsynaptic density95) represent a class of anchoring proteins which serve to localize various neuronal ion channels to post-synaptic densities
  • PSD95 and related proteins contain PDZ domains, which interact with NMDA receptors and voltage-gated K + channels via a ET/SXV motif in the cytoplasmic carboxyl terminus of the receptor channels.

Compare Similar Items

Show Difference

Img

MilliporeSigma™

ABN998MI

--


Antigen:
phospho- PSD95 (Thr19)

Classification:
Polyclonal

Gene Accession No.:
P78352

Host Species:
Rabbit

Purification Method:
Affinity Purified

Regulatory Status:
RUO

Primary or Secondary:
Primary

Target Species:
Human

Applications:
Immunohistochemistry (Paraffin), Western Blot

Formulation:
Purified rabbit polyclonal in buffer containing 0.1M Tris-Glycine (pH 7.4), 150mM NaCl with 0.05% sodium azide.

Gene Symbols:
DLG4; PSD95

Immunogen:
KLH-conjugated linear peptide corresponding to human phospho PSD95 (Thr19) near the N-Terminus.

Quantity:
100 μg

Research Discipline:
Neuroscience

Gene ID (Entrez):
NP_001122299

Content And Storage:
Stable for one year at 2°C to 8°C from date of receipt.

Img

MilliporeSigma

ABN99MI

--


Antigen:
phospho NR1 (Ser897)

Classification:
Polyclonal

Gene Accession No.:
__

Host Species:
Rabbit

Purification Method:
Affinity Purified

Regulatory Status:
__

Primary or Secondary:
Primary

Target Species:
Human, Mouse, Rat

Applications:
Immunohistochemistry, Immunoprecipitation, Western Blot

Formulation:
Purified rabbit polyclonal in buffer containing 0.1M Tris-Glycine (pH 7.4), 150mM NaCl with 0.05% sodium azide.

Gene Symbols:
NMDAR1; NMD-R1; NR1; NMDA1

Immunogen:
KLH-conjugated linear peptide corresponding to rat NR1 when phosphorylated at Ser897.

Quantity:
100 μg

Research Discipline:
__

Gene ID (Entrez):
Q05586

Content And Storage:
2-8°C for 12 months

Img

Thermo Scientific

ABS0010702

--


Antigen:
APC-AAT complexes

Classification:
Monoclonal

Gene Accession No.:
__

Host Species:
Mouse

Purification Method:
Protein A/G

Regulatory Status:
RUO

Primary or Secondary:
Primary

Target Species:
Human

Applications:
ELISA, Immunohistochemistry

Formulation:
PBS with 15mM sodium azide; pH 7.4

Gene Symbols:
__

Immunogen:
Recombinant form of human activated protein C.

Quantity:
400 μL

Research Discipline:
__

Gene ID (Entrez):
__

Content And Storage:
4° C, store in dark

Img

Thermo Scientific

ABS0020902

--


Antigen:
C1S

Classification:
Monoclonal

Gene Accession No.:
P09871

Host Species:
Mouse

Purification Method:
Protein A/G

Regulatory Status:
RUO

Primary or Secondary:
Primary

Target Species:
Human

Applications:
ELISA, Immunohistochemistry (Paraffin)

Formulation:
PBS with 15mM sodium azide; pH 7.4

Gene Symbols:
C1S

Immunogen:
C1s proenzyme purified from human plasma.

Quantity:
400 μL

Research Discipline:
__

Gene ID (Entrez):
716

Content And Storage:
4° C, store in dark